Dr. Christian Batarce

TU SONRISA PERFECTA COMIENZA AQUÍ

Especialista en Ortodoncia con más de 11 años de experiencia, dedicado a brindarte la mejor atención con tecnología moderna, que combina diagnóstico y planificación digital, tratamientos mucho más cortos, con menos citas de control y con menos molestias para el paciente.

Dr. Christian Batarce
Dr. Christian Batarce Especialista en Ortodoncia

Contacto

Comunícate con nosotros por WhatsApp para agendar tu cita.

+569 62110977

Horarios

Lunes a Viernes: 09:00 - 19:00
Sábado: 09:00 - 14:00
Domingo: Cerrado

Ortodoncia Autoligado CC0 System

Tratamientos de Ortodoncia 100% Digitales y personalizados, diseñados para lograr una sonrisa más rápida, cómoda y precisa

Retrato del Dr. Christian Batarce

Dr. Christian Batarce

Director Clínico de IOT Talca

Coordinador Internacional para Chile de IAOFO

Quién Soy

Cargos Profesionales

  • Director Clínico de IOT Talca
  • Coordinador Internacional para Chile de IAOFO (International Association of Orthodontics and Forensic Odontology)

Formación Académica

  • Cirujano Dentista
  • Licenciado en Odontología
  • Especialista en Ortodoncia y Ortopedia Dentomaxilar
  • Centro Universitario Amparense UNIFIA, Sao Paulo, Brasil.

Áreas de Especialización

  • Certificación en Ortodoncia Autoligado CCO System, USA.
  • Certificación en Ortodoncia Sistema Roth, Brasil.
  • Certificación en Ortodoncia Sistema MBT, Brasil.
  • Certificación en Ortodoncia Autoligado Damon System, Chile.
  • Certificación en "los 6 Elementos de la Armonía Orofacial", del Dr. Laurence Andrews, Perú.
  • Certificación en Alineadores ClearCorrect, Straumann Group, Chile.
  • Certificación y pasantía presencial "Master Class Clinician Series III" en la Facultad de Medicina Dental de la Universidad de Harvard, Boston, Estados Unidos.

Contacta con Nosotros

¿Tienes preguntas? Nos encantaría escucharte. Contáctanos de cualquiera de estas formas.

WhatsApp

+569 62110977

Horario de Atención

Lunes - Viernes: 09:00 - 19:00

Sábado: 09:00 - 14:00

Domingo: Cerrado

9:41
Dr. Christian Batarce En línea
¡Hola! Bienvenido. ¿En qué puedo ayudarte hoy?
9:42
Hola, me gustaría agendar una cita
9:43
Perfecto, te ayudaré. ¿Qué tipo de servicio necesitas?
9:44

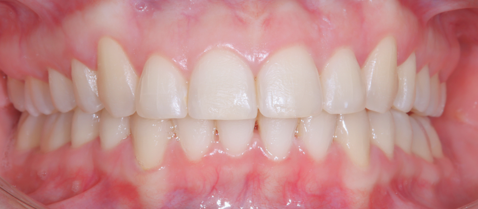
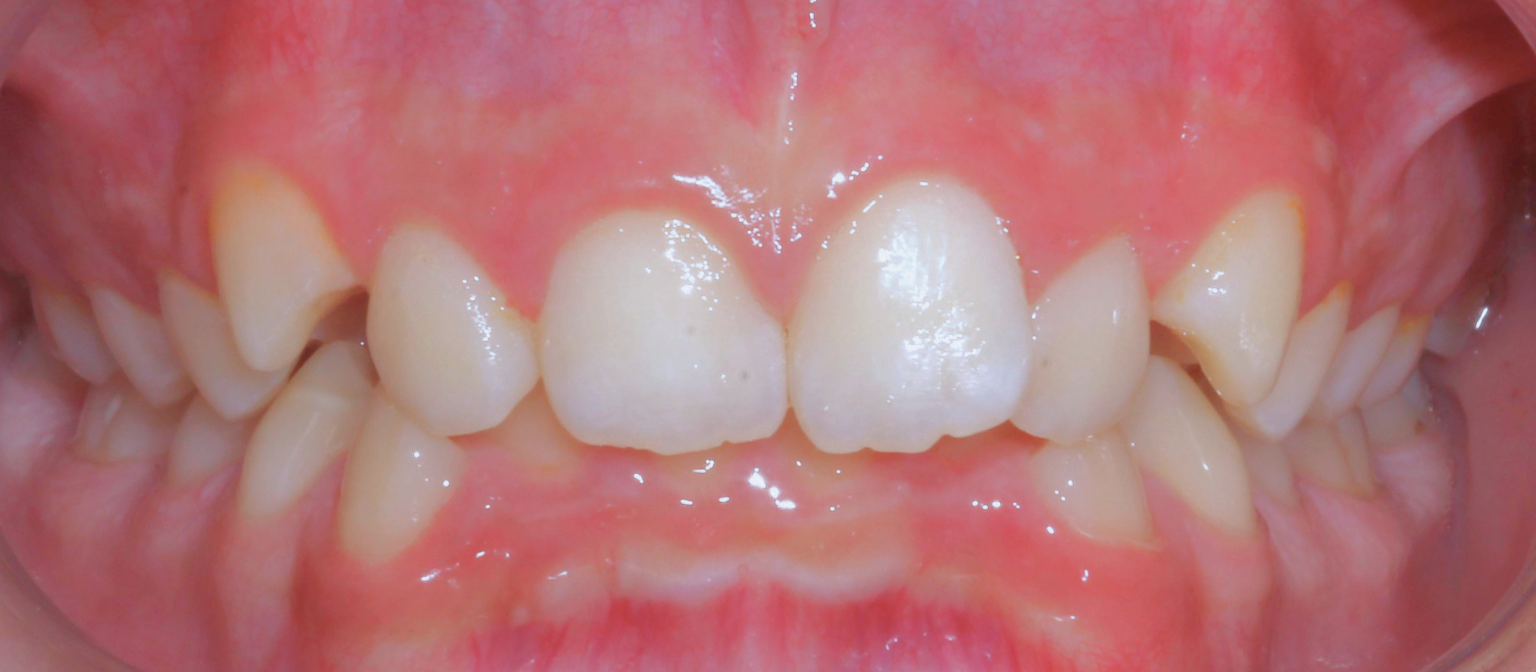
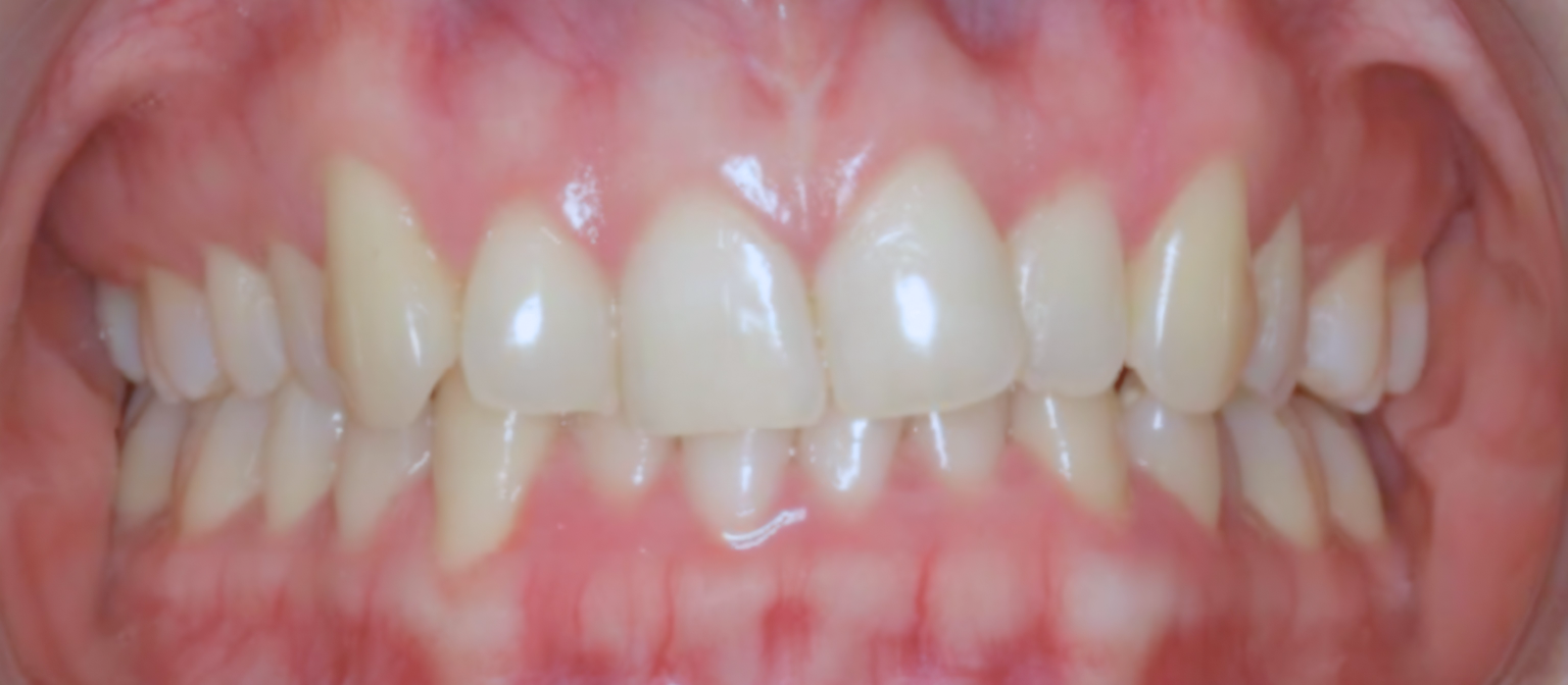
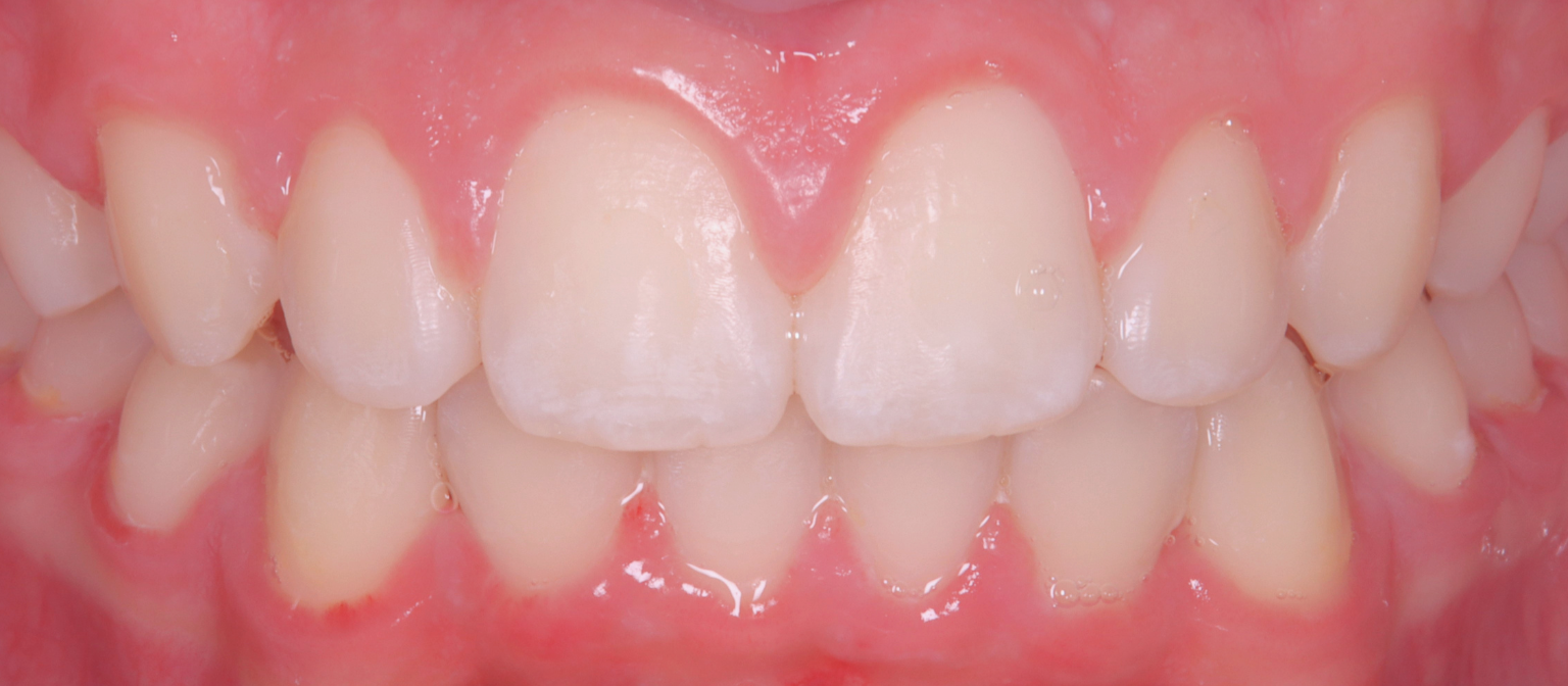
Casos de Éxito

Transformaciones dentales que cambiaron la vida de nuestros pacientes

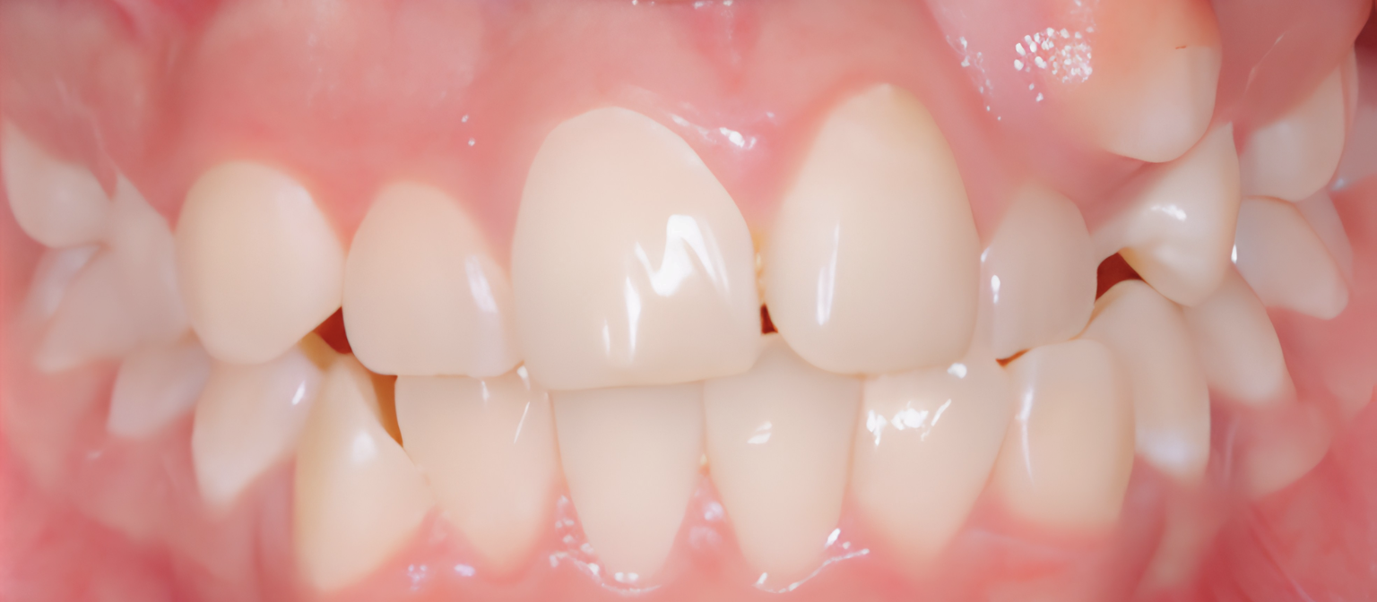
Caso 1 - Antes
Caso 1 - Después
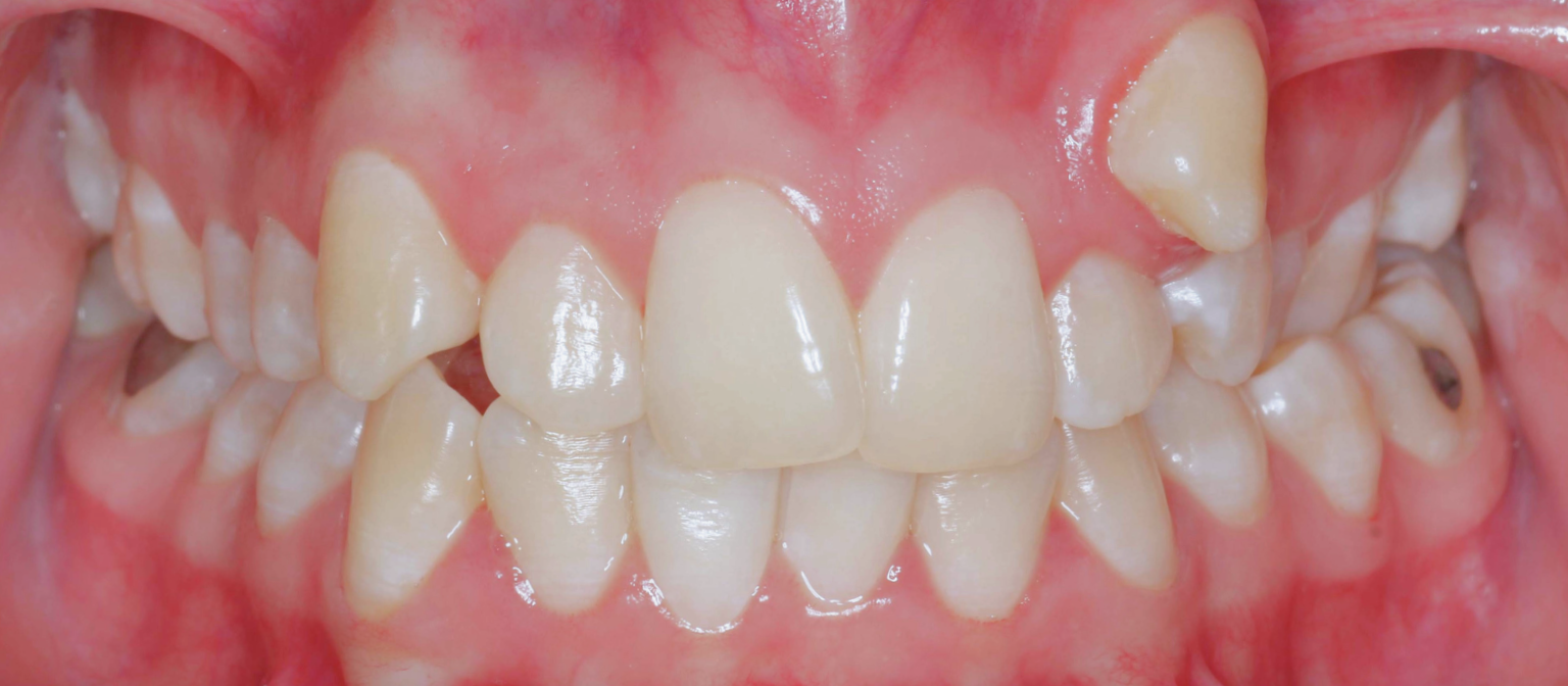
Caso 2 - Antes
Caso 2 - Después
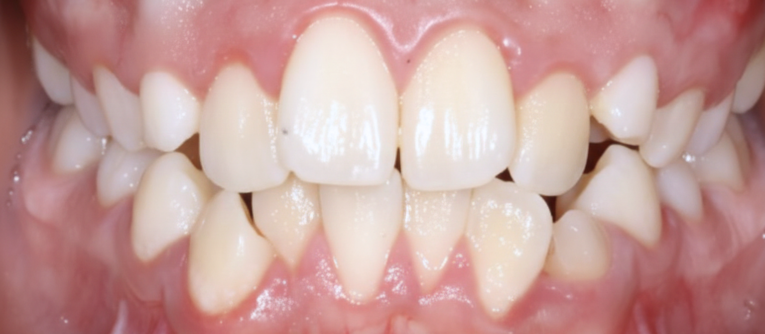
Caso 3 - Antes
Caso 3 - Después
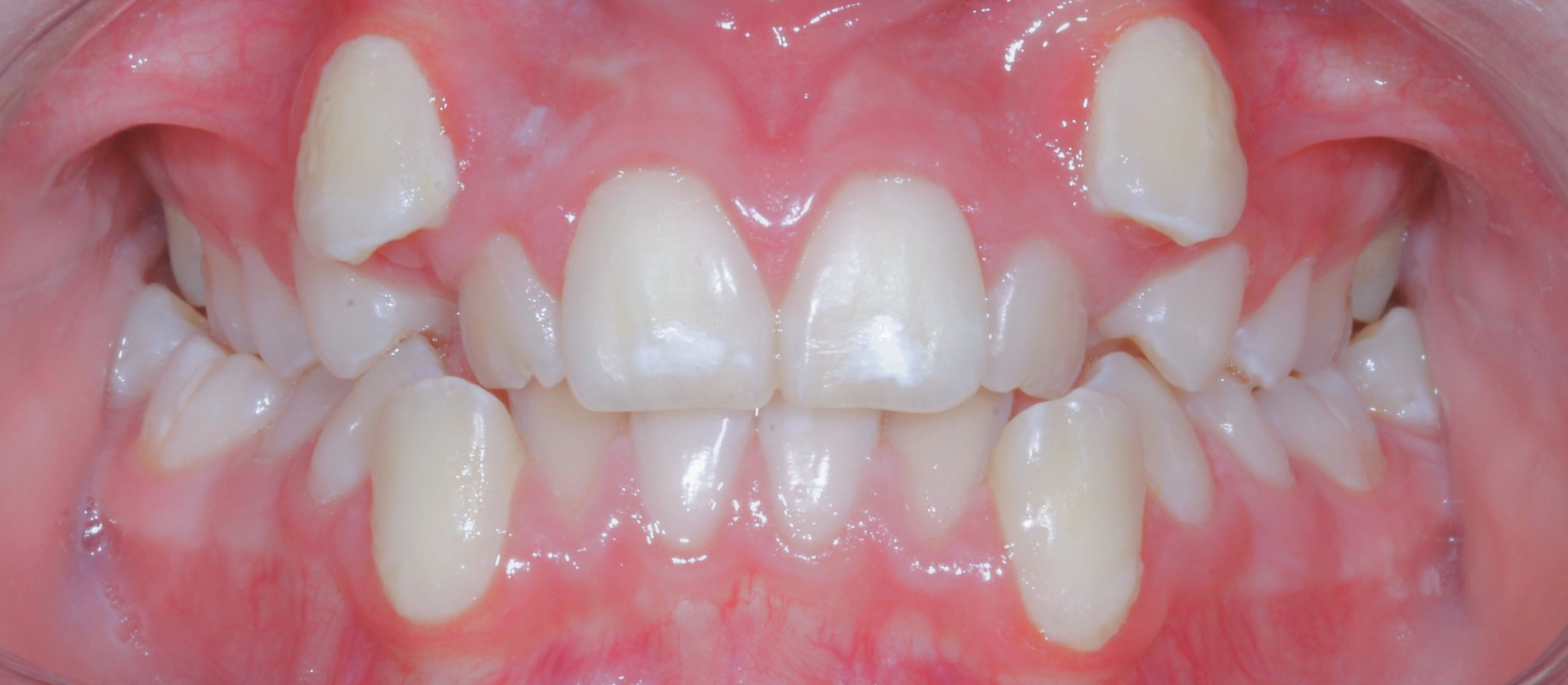
Caso 4 - Antes
Caso 4 - Después
Caso 5 - Antes
Caso 5 - Después
Caso 6 - Antes
Caso 6 - Después

Lo que Dicen Nuestros Pacientes

Testimonios de pacientes satisfechos con nuestros tratamientos

Testimonio 1

"Excelente atención, muy profesional. Mi sonrisa cambió completamente. Recomiendo ampliamente."

Paciente 1

Paciente

Ver Video
Testimonio 2

"El Dr. es muy dedicado y atento. Los resultados superaron mis expectativas. Muy satisfecho."

Paciente 2

Paciente

Ver Video
Testimonio 3

"Clínica moderna, equipo profesional. Me hicieron sentir cómoda en todo momento. Gracias."

Paciente 3

Paciente

Ver Video

Dónde Encontrarme

Contamos con 3 ubicaciones estratégicas para brindarte la mejor atención.

Clínica VG Odontología Talca

Edificio Centro Pichimapu, Avda. Las Rastras 1285, cuarto piso, oficinas 423 y 424, Talca.

WhatsApp: +569 62110977

Clínica Dental Maule Curicó

Serrano 81, entre calles Chacabuco y La Alameda, frente a unidad de emergencia del Hospital San Juan de Dios (Hospital Viejo), Curicó.

WhatsApp: +569 62110977